
What difficulties does the Church see in the priestly ordination of women?
Question: Why does the Catholic Church not accept the priestly ordination of women? Is this not a discrimination that some confessions like Anglicanism have already


Question: Why does the Catholic Church not accept the priestly ordination of women? Is this not a discrimination that some confessions like Anglicanism have already

Question: I would like to know if there is a document that mentions the use of the guitar within the Mass and also about applause.

Question I am very concerned about the Apocalypse. I happen to know separated Adventist brothers on the internet, and they keep saying that in their

Question: What should be done with frozen embryos? Can they be implanted in a voluntary marriage? Answer: It is a very difficult question, as both

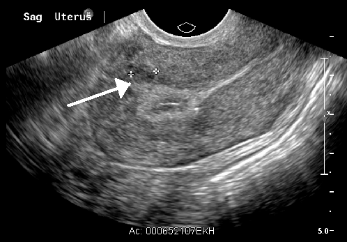
Question Dear Father, we have the following case: a woman has a pregnancy of a few weeks located outside the uterus. The same thing happened

Question Where does the Bible state that Mary was taken up to heaven or that she was conceived without original sin and the other Catholic

Question: A person who is in a vegetative state, with brain death, whose heart is beating only because they are connected to machines, do they

Question: The reason for this letter is to thank you for such an instructive and necessary opportunity to respond to the concerns that the Catholic

Question: Dear Father Miguel Angel Fuentes, My future husband and I attended one of the talks required by our diocese for all couples wishing to

Question: My question is regarding the way one should dress for Mass. I should clarify that this is about a Children’s Mass. Because of the





Question: I would like to know about indulgences. How many indulgences are gained by praying the rosary? In this year especially and at other times,

Question: I would like to know what the soul is and what is the difference between it and life, if there is any. Response: The

Question: Can you confess to a person via e-mail? Response: We will analyze the question that you outlined from the role of the penitent and

Question: Many attempts have been made to transplant organs from animals to humans, not only for the sake of research but also because in some
Do you have a question? Send it to us, and we will try to answer in short…
You can fill out this form